+57 300 5516067
info@dientesysonrisa.com
Carrera 15 #77-90 Cons 408 Frente a Unilago - Bogotá

Periodoncia Bogotá

Enfermedad Periodontal

Diagnóstico Y Tratamiento

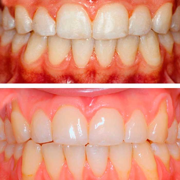
La enfermedad periodontal es una de las amenazas más graves para la salud dental. Es una enfermedad grave de las encías que daña los tejidos blandos y destruye la mandíbula.

Esto sucede cuando se trabaja con amor

Reseñas en Google
4.9 ★★★★★
Basado en 330 opiniones de clientes

Tratamientos de Enfermedades Periodontales

Este término se refiere al tratamiento de todos los problemas de las encías y el hueso que sostiene los dientes. Cada diente está enclavado en el hueso, unido fuertemente por una serie de estructuras que garantizan su fortaleza y correcto funcionamiento. En ocasiones, las estructuras que rodean y soportan al diente (encías y hueso), se ven afectadas de forma importante. Esto desencadena un proceso degenerativo continuo, que progresa lentamente, hasta llegar a un estado avanzado en el que el diente se mueve en exceso y se termina “cayendo”.

Antes de que esto suceda, los dientes van pasando por varias etapas bien definidas, desde una afectación leve hasta estados avanzados de perdida dentaria. Este proceso se denomina periodontitis, y es conocido vulgarmente como “piorrea”.

Signos de una enfermedad periodontal:

  • Las encías sangran al cepillar los dientes
  • Encías rojas, inflamadas o dolorosas
  • Encías flojas y sueltas
  • Mal aliento persistente
  • Pus entre los dientes y las encías
  • Dientes sueltos o que se están separando
  • Cambio en su mordida
  • Cambios en la adaptación de las dentaduras parciales

Prevención y Tratamientos:

El objetivo principal del tratamiento es limpiar las bacterias de las encías alrededor de los dientes y evitar una mayor destrucción de huesos y tejidos.

• El cuidado dental adecuado implica cepillarse los dientes al menos dos veces al día y usar hilo dental una vez al día. Si hay suficiente espacio entre los dientes, se recomienda un cepillo interdental.
• Las selecciones suaves se pueden usar cuando el espacio entre los dientes es más pequeño. Los pacientes con artritis y otras personas con problemas de destreza pueden encontrar que usar un cepillo de dientes eléctrico es mejor para una limpieza a fondo.
• La periodontitis es una enfermedad inflamatoria crónica o a largo plazo. Si no se mantiene una buena higiene bucal, se repetirá.
• Es importante eliminar la placa y el cálculo para restaurar la salud periodontal.
• Un profesional de la salud llevará a cabo escamas y desbridamiento para limpiar debajo de la línea de las encías. Esto se puede hacer usando herramientas manuales o un dispositivo ultrasónico que rompa la placa y el cálculo. El cepillado de la raíz se realiza para alisar áreas ásperas en las raíces de los dientes. Las bacterias pueden alojarse dentro de los parches ásperos, lo que aumenta el riesgo de enfermedad de las encías. Dependiendo de la cantidad de placa y cálculo que haya, esto puede tomar una o dos visitas.

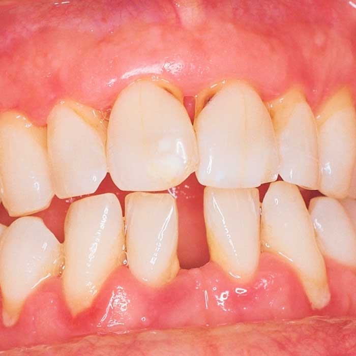
Estados de la Periodontitis

Diente sano

Gingivitis

Bolsas periodontales

Periodontitis

Tratamientos y Procedimientos Periodentales

Un periodoncista, odontólogo o higienista dental pueden llevar a cabo el tratamiento. El objetivo del tratamiento de la periodontitis es limpiar exhaustivamente las bolsas alrededor de los dientes y prevenir daños en el hueso que las rodea. Las mejores posibilidades de éxito en el tratamiento se obtienen cuando se adopta una buena rutina diaria de cuidado y aseo bucal, se controlan las afecciones de salud que pueden tener graves consecuencias en la salud dental.

Averigua si eres candidato para un tratamiento mínimamente invasivo de la enfermedad de las encías, visítanos para hacerte una valoración a un bajo costo o consúltanos vía whatsapp sin ningún costo, consulta x este medio GRATIS.

Métodos de Pago

Acercamos a nuestros clientes las mejores opciones de pago para hacer posible que el sueño de tener una sonrisa maravilloa, sea una realidad.

Recibimos todas las tarjetas de crédito, Master Card, Visa, Tarjeta Olímpica, Tarjeta Éxito, Codensa, American Express y Tuya. Adicional tenemos la opción de LINK DE PAGO NACIONAL E INTERNACIONAL.

¡Déjanos tu comentario!

Nos encantaría conocer tu opinión acerca de la experiencia que tuviste en DIENTES & SONRISA. Tu satisfacción es nuestra principal prioridad y tus comentarios nos ayudarán a seguir mejorando nuestro servicio. Si puedes tomar un momento para dejar un comentario, te lo agradeceríamos muchísimo. ¡Gracias por elegirnos como tus odontólogos de confianza!"


Preguntas Relacionadas Periodoncia

¿Qué es la periodontitis?

La periodontitis, o enfermedad de las encías, es una infección común que daña los tejidos blandos y los huesos que sostienen el diente. Sin tratamiento, el hueso alveolar alrededor de los dientes se pierde lenta y progresivamente.

¿Por qué ocurre la periodontitis?

• La periodontitis, o enfermedad de las encías , afecta el área alrededor del diente, incluidos los huesos y las encías.
• Ocurre cuando las bacterias y la placa se acumulan alrededor del diente, y el sistema inmunitario lanza una reacción.
• La buena higiene bucal es parte del tratamiento y la prevención, pero a veces la cirugía también es necesaria.
• Fumar aumenta el riesgo de enfermedad de las encías y de que el tratamiento no funcione.

¿Cuáles son los tratamientos quirúrgicos para la periodentitis?

Cirugía de colgajo (cirugía de reducción de bolsillo). Su periodoncista hace pequeñas incisiones en su encía para poder levantar una sección del tejido de las encías, exponiendo las raíces para una descamación y un alisado de raíces más efectivos. Debido a que la periodontitis a menudo causa pérdida ósea, el hueso subyacente puede reconstituirse antes de que el tejido de las encías se suture nuevamente en su lugar. Después de sanar, es más fácil limpiar estas áreas y mantener sano el tejido de las encías.

Injertos de tejidos blandos. Cuando pierde tejido de las encías, su línea de las encías retrocede. Es posible que necesite reforzar parte del tejido blando dañado. Esto generalmente se hace mediante la eliminación de una pequeña cantidad de tejido del techo de la boca (paladar) u otra fuente de donante y uniéndolo al sitio afectado. Esto puede ayudar a reducir aún más la recesión de las encías, cubrir las raíces expuestas y darle a los dientes una apariencia más agradable.

Injerto óseo. Este procedimiento se realiza cuando la periodontitis ha destruido el hueso que rodea la raíz del diente. El injerto puede estar compuesto de pequeños fragmentos de su propio hueso, o el hueso puede ser sintético o donado. El injerto óseo ayuda a prevenir la pérdida de dientes al mantener el diente en su lugar. También sirve como plataforma para el nuevo crecimiento del hueso natural.

¿Por qué necesitarías ver a un periodoncista?

El cepillado diario y el uso de hilo dental, junto con las visitas periódicas a un dentista general para una limpieza y un examen exhaustivos, son las claves para mantener una buena salud bucal, pero solo se necesita una pequeña cantidad de placa y sarro que se pasa por alto para provocar la enfermedad de las encías. Los pacientes con enfermedad de las encías severa o compleja serán referidos a un periodoncista para tratar la enfermedad de las encías y evitar que vuelva a aparecer, aunque también hay razones estéticas para ver a un periodoncista. La cirugía plástica periodontal puede tratar una variedad de problemas que afectan la apariencia de su sonrisa, incluyendo exceso de encías, retracción de las encías y falta de dientes.

El campo de la periodoncia involucra una variedad de problemas dentales y opciones de tratamiento, pero todos los periodoncistas comparten un conjunto de objetivos comunes: restaurar el tejido de las encías enfermo a una buena salud, mejorar la apariencia y la función de su sonrisa y ayudarlo a mantener una buena oralidad. salud para que mantenga sus dientes naturales el mayor tiempo posible.

¿Qué información debo tener lista para hablar con mi periodoncista?

Cualquier síntoma que tenga, incluidos los que puedan parecer ajenos al motivo de su cita. Información personal clave, como cualquier afección médica que pueda tener. Todos los medicamentos que toma, incluidas las vitaminas, hierbas u otros suplementos, y las dosis.

Consúltanos a través de nuestros canales disponibles
DIENTES & SONRISA Láser Bogotá